Randallstown Cosmetic Dentist

Dentistry Before and After Photos in Randallstown

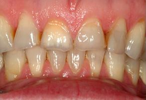
before

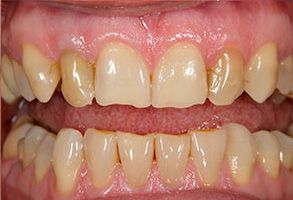
Before

MD Family Dental Care | Periodontal Treatment, Digital Impressions and Veneers

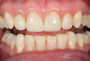
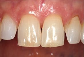
After

MD Family Dental Care | Dental Sealants, Invisalign reg  and TMJ Disorders

Before

MD Family Dental Care | Preventative Program, Extractions and Digital Impressions

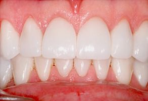
After

MD Family Dental Care | Invisalign reg , Dental Sealants and Dental Bonding

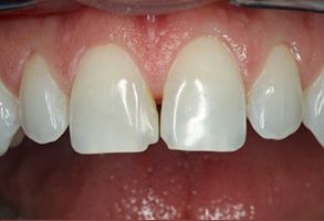
Before

MD Family Dental Care | ClearCorrect reg , Invisalign reg  and Snoring Appliances

After

MD Family Dental Care | Cosmetic Dentistry, Night Guards and Oral Cancer Screening

Before

MD Family Dental Care | Laser Dentistry, Root Canals and Extractions

After

MD Family Dental Care | Ceramic Crowns, Dental Bonding and Emergency Treatment

Before

MD Family Dental Care | Invisalign reg , Extractions and Snoring Appliances

After

MD Family Dental Care | Digital Impressions, Oral Surgery and Dental Fillings

Before

MD Family Dental Care | Oral Surgery, Veneers and Digital Radiography

After

MD Family Dental Care | Digital Radiography, Extractions and Invisalign reg

Before

MD Family Dental Care | Pediatric Dentistry, Ceramic Crowns and Dental Bonding

After

Schedule a visit today!
Contact Us
Submit

Thank You!

We appreciate you taking the time to visit our site. We'll review your message and be in touch with you soon.

Continue
Randallstown Emergency Dentist

For Your Convenience

Online Bill Payment is Now Available